شکستن-لمینت

عوارض و مشکلات لمینت

لمینت دندان چیست؟

لمینت یا ونیر دندان راه حل خوبی برای بهبود زیبایی دندانها و خوشایندتر کردن لبخند است به خصوص اگر دندانهای جلویی تان اشکالاتی داشته باشند که نیاز به اصلاح دارد. اما درمان لمینت کاملا بدون اشکال نیست بلکه عوارض و مشکلاتی هم میتواند داشته باشد. در مورد خوبیها و مزیتهای لمینت بسیار گفته شده است، اما در اینجا میخواهیم به مشکلات و عوارض لمینت دندان بپردازیم.

لمینت دندان چگونه انجام می شود و مراحل انجام لمینت دندان چقدر طول می‌کشد؟

وقتی به لبخند خود اطمینان ندارید، می‌تواند به عزت‌نفس شما آسیب جدی وارد کند. احساس نیاز به پنهان‌کردن دندان‌هایتان نباید شما را از لبخندزدن، خندیدن و تعامل آزادانه با افراد اطرافتان باز دارد.

پیشرفت در خدمات دندانپزشکی زیبایی می‌تواند لبخند شما را سریع‌تر از آنچه تصور می‌کردید تغییر دهد.

روکش‌های دندانی و درمان‌های لمینت دندان می‌توانند نتایج فوق‌العاده‌ای را در یک بازه زمانی به نسبت کوتاه ایجاد کنند.

لمینت‌ها امروزه طرفداران بسیاری زیادی دارند و افراد بسیاری زیادی خواهان استفاده از آنها هستند.

اما مراحل لمینت دندان چگونه است و چطور از لمینت‌ها برای زیباسازی دندان‌ها و لبخند افراد استفاده می‌شود؟

در این مقاله به‌صورت کامل با این فرایند آشنا می‌شویم.

لمینت دندان چگونه انجام می شود؟

لمینت دندان یکی از انواع خدمات دندانپزشکی است که در سال‌های اخیر بسیار محبوب شده است. این پوسته‌ها یا لمینت‌ها بر اساس دندان‌های فرد و نیازی که دارند در محیط آزمایشگاه ساخته‌شده و سپس روی دندان‌ها قرار می‌گیرند.

لمینت‌ها به‌منظور تغییر رنگ، شکل، اندازه یا طول دندان‌ها و بهبود ظاهر آنها به سطح جلویی دندان چسبانده می‌شوند.

لمینت‌ها در واقع از لایه‌های نازک چینی متنوعی ساخته شده‌اند و با استفاده از یک ماده چسبنده به مینای طبیعی دندان‌ها وصل می‌شوند.

نکته مهم این است که برخلاف تصور عموم افراد برای ساخت لمینت چینی نیازی به تراشیدن دندان‌ها نیست و در کمترین حد آسیب و تغییر دندان‌ها، نصب لمینت‌ها انجام می‌شود.

لمینت کردن دندان چه عوارضی ممکن است داشته باشد؟

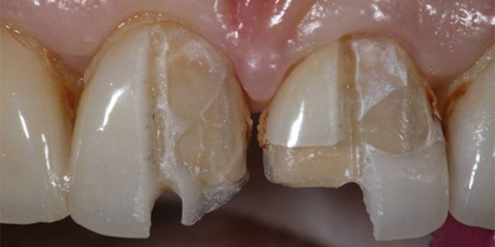
صدمه دیدن لمینت

یکی از مشکلات اصلی لمینت این است که ممکن است لب پر شده یا ترک بردارد و یا از دندان جدا شود. اگر از دندانتان برای باز کردن در بطری یا شکستن فندق یا جویدن یخ و از این چیزها استفاده کنید، لمینت ممکن است صدمه ببیند. لمینت ها مقاومت دندان را ندارند و صدمه می بینند. با این حال گاهی اوقات قابلیت ترمیم دارند، به خصوص لمینت کامپوزیتی. اما اگر نتوان لمینت را ترمیم کرد باید تعویض شود.

صدمه دیدن دندان

یکی از عوارض لمینت دندان صدمه دیدن دندان است. برای لمینت کردن دندانها باید یک لایه نازک از مینا تراشیده شود چرا که در غیر این صورت با اضافه شدن ضخامت لمینت، دندان حجیم می شود. به همین علت دندانی که لمینت شده، مینای نازکتری دارد و دیگر بدون لمینت یا روکش دندان نمیتوان آن را رها کرد. فرایند لمینت کردن برگشت پذیر نیست بنابراین باید با توجه بیشتری تصمیم بگیرید. مینای از دست رفته دیگر رشد نمیکند و برنمیگردد. اگر میخواهید لمینت کنید باید بدانید این درمان زیبایی باید مادام العمر ادامه داشته باشد.

حساسیت دندان

حساسیت دندان یکی دیگر از عوارض لمینت دندان است. به دلیل تراشیده شدن دندان ممکن است دندانتان به دمای سرد یا گرم حساس شود. با این حال این وضعیت معمولا گذرا است و پس از مدتی برطرف می شود. در برخی افراد هم اصلا چنین چیزی تجربه نمی شود. کسانی که مینای دندانشان نازک است پیش از لمینت کردن بهتر است معایب و مزایای آن را از دندانپزشک بپرسند.

تغییر رنگ لمینت

یکی از مشکلات و عوارض لمینت، تغییر رنگ و لکه است. لمینت سرامیکی در مقابل تغییر رنگ مقاومت بیشتری دارد اما باز هم در صورتی که نکات گفته شده مانند مسواک زدن و محدود کردن مصرف خوراکی های پر رنگدانه را رعایت نکنید، ممکن است لمینت تان دچار لکه شود.

عدم امکان ترمیم لمینت دندان در صورت شکستگی یا پریدگی:

 جنس لمینت سرامیکی سخت و محکم است و به سادگی دچار پریدگی یا شکستگی نمی شود اما بر خلاف کامپوزیت، امکان ترمیم آن در صورت پریدگی یا شکستگی وجود ندارد و در صورت شکستگی باید حتما تعویض شود.

لمینت دندان برگشت ناپذیر است:

 از آن‌جایی که در لمینت، دندان‌ها به مقدار کمی تراش می‌خورند نمی‌توان پس از نصب آن را جدا کرد و برگشت پذیر نیست. پس از گذاشتن لمینت چشم‌تان به ظاهر جدید دندان‌هایتان عادت خواهد کرد زیرا دیگر امکان تغییر شکل و فرم آن نیست‌.

قیمت بالاتر نسبت به سایر روش‌های دندانپزشکی زیبایی: 

قیمت لمینت دندان نسبت به سایر روش‌های اصلاح طرح لبخند مانند کامپوزیت و بلیچینگ بیشتر است، البته نسبت به کیفیت و ماندگاری که دارد می‌توان گفت پرداخت هزینه بالا برای انجام آن معقول است.

امکان سفید شدن مجدد ندارد:

 همان طور که اشاره شد لمینت دندان برگشت ناپذیر است. در صورت زرد شدن لمینت امکان سفید کردن مجدد آن وجود ندارد. اگر پس از گذشت چند سال، لمینت دندان‌تان بر اثر سیگار یا نوشیدنی های الکلی زرد شد نمی‌توانید آن را با با روش‌هایی مانند بلیچینگ مجدد سفید کنید و باید لمینت جدید سفارش دهید.

چه مقدار از دندان برای لمینت کردن باید تراشیده شود؟

در این درمان زیبایی، یک لایه بسیار نازک از سطح جلوی دندان برداشته می شود. ضخامت آن برابر با ضخامت پوسته لمینت است. مقدار دقیق تراشیدن دندان بستگی به ضخامت لمینتی دارد که برای شما انتخاب شده است اما به طور کلی غالبا بین ۰.۵ تا ۰.۷ میلی متر می باشد. این مقدار دو برابر ضخامت پوسته تخم مرغ است.

لمینت کردن دندانها برای چه کسانی مناسب نیست؟

  • کسانی که مینای دندانشان نازک است یا از بین رفته است.
  • کسانی که دندانشان پرکردگی بزرگ دارد.
  • کسانی که دندان قروچه شدید دارند.
  • دندانهایی که ترک خوردگی بزرگی دارند و ساختارشان ضعیف شده است (برای این موارد روکش کردن بهتر است).
  • توصیه های پیش از لمینت کردن دندانها

عوامل موثر بر کاهش طول عمر لمینت دندان

پیش از این‌که اقدام به انجام لمینت دندان کنید، بهتر است از میزان طول عمر و عوامل دخیل در آن اطلاع داشته باشید‌.

لمینت دندانی در حالت کلی بین ده تا بیست سال دوام و ماندگاری خواهد داشت.

طول عمر دقیق لمینت دندانی به میزان مراقبت‌ شما از آن‌ها وابسته است. در صورتی که فرد به یک‌سری نکات توجه داشته و در رعایت آن‌ها کوشا باشد، می‌تواند به ‌صورت طولانی مدت از مزایای لمینت دندان بهره‌مند شود؛ چراکه با رعایت نکات ضروری، دیگر آسیبی متوجه دندان‌های فرد نخواهد شد. در شرایطی که افراد متوجه بروز مشکلی در لمینت دندانی خود شوند، باید سریعا به دندان‌پزشک مراجعه نموده و برای انجام درمان‌های فوری مرتبط با آن اقدام نمایند. از جمله عوامل موثر بر طول عمر لمینت دندان می‌توان به موارد زیر اشاره کرد:

  1. عدم مراجعه به دندانپزشک در کاهش طول عمر لمینت
    امروزه افراد هستند که بسیاری روی دندان‌های خود لمینت دندانی انجام داده‌اند. برای این افراد، مراجعه به ‌صورت دو بار در سال به دندان‌پزشک الزامی خواهد بود. این مراجعات به ‌منظور بررسی و چکاپ وضعیت لمینت دندان انجام می‌گیرند. در طی این مراجعات، دندان‌پزشک موارد بسیاری همچون احتمال وجود عفونت در دندان‌ها یا لثه و مواردی این‌چنینی را مورد سنجش قرار می‌دهد. احتمال دارد که مشکلی برای لمینت دندانی پیش آمده باشد؛ اما فرد به این مسئله پی نبرده باشد. با داشتن مراجعات منظم به دندان‌پزشک می‌توان از سلامت لمینت‌های دندانی اطمینان حاصل کرد.
  2. عادات رفتاری نامناسب و تاثیر آن در کاهش عمر لمینت
    از دیگر عوامل موثر بر طول عمر لمینت دندانی، می‌توان به داشتن عادات رفتاری صحیح یا غلط اشاره کرد. عادت‌های رفتاری همچون ناخن جویدن، دندان قروچه یا جویدن اجسام سفت و سخت از سری عادات بد رفتاری به ‌حساب می‌آیند که امکان دارد لمینت‌های دندانی را با آسیب‌هایی جدی مواجه کند و طول عمر و میزان ماندگاری آن‌ها را کاهش دهد.بنابراین عادات بد رفتاری باید کنترل شوند و همچنین برای ترک آن‌ها اقدامی صورت بگیرد‌. برای برطرف کردن مشکلاتی همچون دندان قروچه فرد باید پیش از انجام هرگونه درمان زیبایی برای برطرف کردن آن اقدام کند. مسئله دندان قروچه در اصل از اعصاب فرد نشات می‌گیرد و باید برای درمان آن اقدامات لازم صورت پذیرند.
  3. نوع تغذیه نامناسب و کاهش طول عمر لمینت
    سبک غذایی و تغذیه فرد را نیز می‌توان از دیگر عوامل موثر در تعیین طول عمر لمینت دندانی دانست. نوع تغذیه در واقع بیشترین نقش را در تعیین میزان ماندگاری دندان‌های لمینت شده دارد. به عبارتی دیگر، میزان شفافیت، زیبایی و سلامت لمینت‌های دندانی وابسته به نوع تغذیه فرد است. اگرچه که گفته می‌شود لمینت دندانی به سادگی تغییر رنگ نمی‌دهد؛ اما قطعیتی برای این مسئله وجود ندارد.بنابراین توصیه ما به شما این است که از نوشیدنی‌های رنگی یا غذاهای حاوی رنگ استفاده نکنید یا مصرف آن را به حداقل برسانید. همچنین مصرف مواد غذایی چسبناک و جویدنی نیز توصیه نمی‌شود. با رعایت نکات تغذیه‌ای احتمال کنده شدن لمینت دندانی از روی دندان‌ها کاهش می‌یابد و ماندگاری و دوام آن‌ها افزایش خواهد یافت.
  4. عدم رعایت مراقبت های بهداشتی
    توجه به مراقبت‌های بهداشتی را می‌توان از اصول اولیه سبک زندگی سالم دانست. اهمیتی ندارد که شما کدام یک از درمان‌های پزشکی یا زیبایی را انجام داده‌اید یا حتی نداده‌اید، در هر صورت رعایت نکات مراقبتی بهداشتی الزامی خواهد بود. در خط اول مراقبت‌های بهداشتی استفاده از نخ دندان، مسواک زدن و نیز دهانشویه قرار دارند. این موارد در پاکسازی دندان‌ها از هرگونه آلودگی احتمالی نقش موثری خواهند داشت و استفاده از آن‌ها به ‌صورت منظم سبب می‌گردد که زیبایی دندان‌های فرد در بلندمدت حفظ شود. در این شرایط میزان ماندگاری و دوام لمینت‌های دندانی نیز افزایش می‌یابد.در زمینه انتخاب مسواک، استفاده از مسواک‌های بسیار نرم توصیه می‌شود تا شاهد ایجاد خراشی روی لمینت دندانی نباشیم. همچنین نوع خمیر دندان مصرفی شما نیز حائز اهمیت است. در صورتی که فرد به نکات مراقبت‌های بهداشتی توجهی نداشته باشد، این موارد سبب می‌گردند که به روکش دندان‌های فرد آسیب وارد شود و گاها شاهد تغییر رنگ و کاهش طول عمر لمینت دندانی باشیم.

چگونه می‌توانیم از کاهش طول عمر لمینت جلوگیری کنیم؟

لمینت‌های سرامیکی در واقع از محبوبیت بالایی در بین سایر روکش‌های زیبایی دندان برخوردار هستند‌؛ چراکه این نوع از لمینت‌های دندانی استحکام و مقاومت بالایی دارد. راهکارهای زیادی وجود داشته که به فرد کمک می‌کند تا میزان ماندگاری و دوام لمینت افزایش یابد. در این صورت علاوه‌بر افزایش دوام و ماندگاری، دیگر نیازی به صرف هزینه برای تعویض لمینت نخواهید داشت. از جمله راهکارهای افزایش طول عمر لمینت باید به موارد زیر اشاره کرد:

  1. رعایت بهداشت دهان و دندان در جلوگیری از کاهش طول عمر
    ابتدایی‌ترین و اصلی‌ترین اقدام برای افزایش طول عمر لمینت دندان را می‌توان رعایت بهداشت دهان و دندان دانست. قرار نیست که برای مراقبت از این روکش‌ها کار به ‌خصوصی انجام دهید. تنها انجام روتین‌های ساده مراقبتی کفایت می‌کند. به بیانی دیگر، همان شیوه‌ای که برای مراقبت از دندان‌های طبیعی خود به ‌کار می‌گیرید را باید روی دندان‌های لمینت شده خود نیز پیاده کنید. برای مراقبت از دندان‌ها روزی دو بار مسواک زدن، نخ دندان کشیدن و استفاده از دهانشویه توصیه می‌شود. رعایت این نکات می‌تواند تضمینی برای سلامت دندان‌ها، لثه‌ها و همچنین روکش‌های پرسلن باشد.
  2. کاهش میزان مصرف غذای رنگی، قلیایی و اسیدی
    در حالت کلی لمینت‌ها در برابر جذب مواد رنگی از خود مقاومت نشان می‌دهند؛ اما ممکن است که استفاده زیاد از مواد غذایی و نوشیدنی‌های قلیایی، اسیدی و رنگی منجر به تغییر رنگ لمینت دندانی شود. شکلات، توت‌های رنگی، قهوه، چای و نوشیدنی‌های گازدار نمونه‌هایی از این مواد رنگی، قلیایی و اسیدی هستند.به دنبال مصرف این مواد غذایی امکان دارد که لمینت‌های دندانی تغییر رنگ دهند و رنگ‌ آن‌ها رو به زردی برود. بنابراین توصیه ما به افراد این است که محدودیتی برای مصرف این قبیل از غذاها در نظر گرفته شود. همچنین بعد از خوردن آن‌ها هرگز مسواک زدن را فراموش نکنید. در شرایطی که فرصت مسواک زدن را ندارید، سعی کنید که دهان خود را با آب شست‌و‌شو دهید.
  3. استفاده از محافظ شبانه در صورت داشتن دندان قروچه
    عادت بدی تحت عنوان دندان قروچه وجود دارد که تاثیر چشم‌گیری بر ماندگاری لمینت دندان خواهد داشت. این عادت ناشی از اضطراب خود فرد است و به این صورت بوده که فرد تحت اضطراب دندان‌های خود را روی یکدیگر می‌فشارد. در واقع عادت دندان قروچه، ساییدگی و لب‌پر شدگی را به ‌دنبال دارد. افرادی که از عادت دندان قروچگی رنج می‌برند، به منظور جلوگیری از ورود آسیب به لمینت دندانی باید از محافظ شبانه استفاده نمایند. برای تهیه آن کافی است که به دندان‌پزشک مراجعه کنید و نایت گاردی اختصاصی را برای دندان‌های خود تهیه فرمایید.
  4. عدم مصرف سیگار
    مصرف سیگار و دیگر دخانیات اثری منفی بر سلامت لمینت دندان بر جای می‌گذارد. استعمال دخانیات سبب می‌گردد که لمینت دندانی فرد تغییر رنگ دهد و همچنین دندان دچار پوسیدگی شود. مصرف سیگار شرایط لازم برای ایجاد بیماری‌های لثه را نیز فراهم می‌کند. همین موارد سبب خواهند شد که طول عمر لمینت‌ها کاهش یابد. افراد بسیاری لمینت دندانی را به منظور رفع نواقص دندانی و بهبود ظاهر دندان‌ها انجام می‌دهند و مصرف دخانیات سبب می‌شود که افراد از هدف اصلی خود از انجام لمینت دندانی دور بمانند. در این شرایط، شرط داشتن دندان‌هایی با ظاهری زیبا ترک مصرف دخانیات است.
  5. عدم استفاده از دندان‌ها به عنوان ابزار
    در اصل روکش‌های لمینتی مقاومت بالایی دارند؛ اما این دلیل نمی‌شود که افراد از دندان‌های خود به ‌‌عنوان ابزار استفاده کنند. برای نمونه اقداماتی مانند باز کردن درب بطری، کیسه‌های پلاستیکی یا بریدن چسب امکان دارد که این روکش‌های لمینتی را در معرض آسیب قرار دهند. استفاده از دندان‌ها به ‌عنوان ابزار می‌تواند لب‌پر شدگی، ترک خوردگی و شکستگی آن‌ها را به ‌‌دنبال داشته باشد.
  6. نخوردن غذاهای سفت
    افرادی که لمینت دندانی انجام داده‌اند، هرگز نباید خوراکی‌های سفت مصرف کنند. همچنین شکستن پوست تخمه و آجیل نیز امکان داشته که برای آن‌ها گران تمام شود. در صورتی که شما عاداتی همچون جویدن یخ دارید، باید این عادت خود را کنار بگذارید؛ چراکه تمامی این موارد می‌توانند لمینت دندانی شما را در معرض شکستگی قرار دهند و از طول عمر مفید آن بکاهند. موارد ذکر شده تنها عوامل تهدیدکننده برای لمینت‌های دندانی به ‌حساب نمی‌آیند و این موارد می‌توانند سلامت دندان‌های طبیعی را نیز در خطر قرار دهند.
  7. استفاده از محافظ دندان
    در بعضی از موقعیت‌ها به منظور حفاظت از لمینت دندان باید محافظ دندان به ‌کار گرفته شود. محافظ دندان در طول فعالیت‌های ورزشی به ‌خصوصی همچون بوکس و ورزش‌های رزمی مورد استفاده قرار می‌گیرد. در این ورزش‌ها احتمال دارد که به صورت فرد و بالتبع دندان‌های او ضربه وارد شود و بشکنند. با کمک محافظ دندانی، لمینت‌های دندان‌ از هرگونه آسیب در امان خواهند ماند.
  8. انجام چکاپ های شش ماهه دندان‌پزشکی
    برای این‌که فرد از سلامت دندان‌های خود اطمینان حاصل کند، باید هر شش ماه یکبار به ‌صورت منظم برای انجام چکاپ اقدام نماید. دندان‌های لمینت شده نیز همچون دندان‌های طبیعی نیازمند انجام چکاپ هستند. در این صورت افراد هرچه سریع‌تر در جریان آسیب‌های وارده احتمالی قرار خواهند گرفت و پیش از این‌که آسیب گسترش یابد، درمان می شوند. افراد در این صورت هزینه کمتری را متحمل خواهند شد.

عوامل موثر بر ماندگاری لمینت دندان

پیش از اینکه فرد برای انجام لمینت دندان اقدام کند، بهتر است که با عوامل دخیل بر میزان دوام لمینت دندانی آشنا شود و آن‌ها را مد نظر قرار دهد. عوامل متعددی در تعیین مدت زمان ماندگاری لمینت دندان نقش دارند. جنس لمینت، میزان مهارت دندان‌پزشک و سن بیمار از جمله این موارد اثرگذار هستند.

  • جنس لمینت
    از سری عوامل موثر بر ماندگاری لمینت دندان می‌توان به جنس مواد به ‌کار گرفته شده اشاره کرد. در صورتی که در ساخت لمینت دندانی از برندهایی باکیفیت و مرغوب استفاده شود، روکش لمینتی از طول عمر بالاتری برخوردار خواهد بود.
  • مهارت دندانپزشک در نصب آن
    برای این‌که نتیجه دلخواه از انجام لمینت دندانی حاصل گردد و فرد بتواند در درازمدت از مزیت‌های لمینت بهره‌مند شود، باید در انتخاب دندان‌پزشک دقت نماید؛ چراکه میزان مهارت دندان‌پزشک در نصب لمینت دندانی تاثیر بسزایی در تعیین میزان دوام و ماندگاری آن دارد. انجام لمینت دندان ظرافت و دقت بسیار بالایی را می‌طلبد.دندان‌پزشک باید به ‌گونه‌ای لمینت دندان را نصب کند که دندان‌های لمینت شده بیشترین شباهت را به دندان‌های طبیعی داشته باشند. در صورتی که دندان‌پزشک شما از مهارت و تبحر لازم برخوردار نباشد، فرد نتیجه رضایت‌بخشی را کسب نخواهد کرد. در این شرایط فرد باید مجددا برای نصب لمینت اقدام نماید که این کار صرف هزینه و وقت اضافی را برای فرد به دنبال خواهد داشت.
  • سن بیمار
    هنگامی که سن افزایش می‌یابد، بافت لثه نیز با گذر زمان به عقب رانده می‌شود. در نتیجه این حرکت، طول دندان‌ها افزایش پیدا می‌کند‌. در این صورت میان لثه و لمینت دندان فاصله‌ای به ‌وجود می‌آید. فاصله ایجاد شده جلوه ناخوشایندی به ظاهر لمینت‌ها می‌دهد و از زیبایی ظاهری فرد به هنگام لبخند زدن می‌کاهد

آیا لمینت کردن باعث پوسیدگی دندانها می شود؟

لمینت فقط یک ترمیم است که سطح جلوی دندان را می پوشاند و خود به خود باعث پوسیدگی دندان نمی شود. هر بار که غذا می جوید، ذرات غذا و باکتری ها در سطوح دندانها و در مرز لثه جمع می شوند. اگر مرتبا مسواک نزنید، پلاک تشکیل شده سخت می شود و به جرم دندان تبدیل می شود. باکتریها در داخل جرم دندان زندگی می کنند و از ذرات غذای باقی مانده در دهان تغذیه می کنند. با تغذیه باکتریها، اسید تولید می شود و اسید مینای دندان را حل کرده و باعث پوسیدگی می شود.

این فرآیند ارتباطی با لمینت کردن ندارد و در صورتی که بهداشت دهان را مرتبا رعایت نکنید یا دائما بین وعده ها خوراکی بخورید، اتفاق می افتد. تنها تاثیری که لمینت میتواند بر پوسیدگی داشته باشد این است که لبه های آن احتمال جمع شدن پلاک را بیشتر می کند. با مسواک زدن مرتب، پلاک به سادگی پاک می شود و از پوسیدگی دندان جلوگیری می گردد.

لمینت بدون تراش چه مزیت‌ هایی نسبت به روش‌ های سنتی دارد؟

اولین و مهم‌ترین مزیتی که روش لمینت بدون تراش دارد این است که به دلیل عدم تراش مینای دندان یا حداقل تراش روی دندان‌ها، میزان آسیبی که به آنها می‌رسد بسیار کم است.

از طرفی معمولاً دوام و ماندگاری لمینت‌های بدون تراش بسیار بیشتر است و نصب آنها روی دندان‌ها بسیار طبیعی به نظر می‌رسد.

تشخیص لمینت‌های بدون تراش از مینای طبیعی دندان‌ها بسیار سخت است.

نکته مهم دیگر این که از آن‌جایی‌که در روش بدون تراش آسیبی به دندان‌ها وارد نمی‌شود و دندان‌ها کاملاً سالم باقی می‌مانند، امکان بروز حساسیت لثه و دندان بسیار کم است و در صورت نیاز به هرگونه درمان دندانپزشکی می‌توان به‌راحتی ترمیم دندان‌ها را انجام داد.

در نهایت این که اگر به هر دلیلی فرد از نتیجه لمینت راضی نباشد می‌تواند بدون بروز هر مشکلی لمینت‌های دندان را بردارد و آنها را جدا کند.

چگونه جلوی پوسیدگی دندانهای لمینت شده را بگیریم؟

  1. پس از هر بار غذا خوردن مسواک بزنید.
  2. هر بار مسواک زدن حداقل دو دقیقه باید زمان ببرد.
  3. از مسواکی استفاده کنید که موهای نرم دارد (سافت) وگرنه به مرور باعث ساییدگی دندانها و لمینت می شود.
  4. حداقل یک بار در روز نخ دندان بکشید.
  5. هر شش ماه یک بار به دندانپزشک مراجعه کنید.

بعد از نصب لمینت‌ها روی دندان‌ها باید برای افزایش دوام لمینت دندان و کیفیت آنها، از لمینت‌ها مراقبت کرد.

نگهداری از لمینت دندان بسیار ساده است و باید با مسواک‌زدن و نخ دندان کشیدن معمولی که یک روتین مراقبت از دندان است از آنها مراقبت کرد.

زیرا لمینت دندان و پوسیدگی دندان به هم مرتبط هستند.

برای کاهش عوارض لمینت دندان معمولاً دندانپزشک استفاده از خمیردندان‌های فلوراید غیرساینده را توصیه می‌کند.

علاوه بر این باید برای بررسی عملکرد لمینت و واکنش دهان و دندان‌ها به لمینت یک هفته بعد از نصب به دندانپزشکی مراجعه کرد.

در افرادی که به دندان‌قروچه عادت دارند برای مراقبت بعد از لمینت دندان توصیه می‌شود که از محافظ دندان استفاده کنند.

در نهایت رعایت مواردی مانند مصرف‌نکردن غذاهای سفت و غیره می‌تواند به نگهداری لمینت‌ها کمک کند.

مراقبت از لمینت دندان تاثیر زیادی روی مدت‌زمان ماندگاری لمینت‌ها دارد. موارد ذکرشده از دلایل افتادن لمینت دندان هستند.